Ortodoncia y Rehabilitación Funcional en Blanes
Corregimos tu sonrisa buscando la máxima armonía y salud integral
Cómo los Hábitos y Disfunciones Influyen en las Malposiciones Dentales
Muchas de las malposiciones dentales que presentan los pacientes están causadas por alteraciones en la respiración (véase respiración oral), la masticación y/o la deglución (forma de tragar). Estos factores interfieren en la correcta posición y desarrollo de los maxilares y los dientes.
Hábitos Infantiles que Modifican la Posición Dental
Algunos hábitos infantiles como chuparse el dedo, rechinar los dientes (bruxismo), morderse las uñas o pieles, y morderse los labios, pueden modificar la posición correcta del maxilar superior y la mandíbula inferior, haciéndolos desarrollarse de forma incorrecta.

Importancia de Corregir Hábitos y Disfunciones Orofaciales
Más allá de realizar las correcciones dentales necesarias con técnicas ortodóncicas, es fundamental corregir estos hábitos y disfunciones. En muchos casos, al cambiar la forma, la función mejora. Para potenciar esta mejora antes, durante o después de los tratamientos, podemos colaborar con un logopeda de confianza.
Prevención, Valoración y Diagnóstico de Disfunciones
Es preciso prevenir, valorar y diagnosticar estas disfunciones y hábitos orofaciales, ya que influyen y pueden interferir en la estructura de los dientes y la relación entre los maxilares.
Disfunciones Comunes que Afectan la Salud Bucal
Respiración bucal: Además de ocasionar malposiciones dentales, la respiración bucal puede causar otras patologías como resfriados y alergias continuas y de repetición, sequedad bucal, y un alto índice cariogénico (caries dentales). En caso necesario, colaboramos con un logopeda para su corrección.
Malformaciones por hábitos: Uso prolongado de chupete, chuparse el dedo, morder gasitas, etc., que afectan el desarrollo adecuado.
Deglución atípica y empuje de la lengua: Estas alteraciones modifican la posición dental y maxilar.
Uso excesivo de biberones inadecuados: Se recomienda la retirada total de los biberones a los dos años para evitar problemas en la evolución oral.
¿Por qué combinar ortodoncia y rehabilitación funcional?
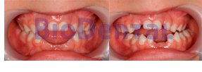
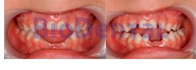
¿Qué es la ortodoncia?
La ortodoncia es la rama de la odontología que corrige la posición de los dientes y la mordida, mejorando tanto la función como la apariencia de la sonrisa. Disponemos de técnicas modernas como la ortodoncia invisible que garantizan tratamientos cómodos, discretos y personalizados.
¿Qué es la rehabilitación funcional?
La rehabilitación funcional se enfoca en restaurar el equilibrio armonioso entre dientes, músculos, articulaciones temporomandibulares y huesos maxilares. Esto permite una función adecuada al masticar, hablar y respirar, y evita problemas secundarios como dolores de cabeza, desgaste excesivo y trastornos posturales.

Corrige malposiciones dentales que afectan negativamente la función masticatoria.

Restablece una mordida equilibrada que protege dientes y articulaciones.

Alivia tensiones musculares, dolores mandibulares y articulares.

Mejora la postura corporal que puede verse afectada por desequilibrios bucales.
Beneficios de nuestros tratamientos
Ofrecemos tecnologías y materiales de última generación para proporcionar tratamientos efectivos y agradables, que incluyen:
Son tratamientos personalizados y multidisciplinares.
Utilizamos tecnología digital y métodos mínimamente invasivos.
Resultados estéticos y funcionales duraderos.
Mejora la calidad de vida reduciendo molestias físicas y tensiones.
Atención cercana y adaptada a tus necesidades.
Nuestro método en Clínica Biodental Blanes
Ofrecemos tecnologías y materiales de última generación para proporcionar tratamientos efectivos y agradables, que incluyen:
Realizamos un diagnóstico integral con tecnología avanzada que incluye análisis oclusales, estudios posturales y escaneos digitales. Implementamos planes personalizados utilizando aparatos ortodóncicos adaptados a las necesidades funcionales y estéticas de cada paciente, complementados con terapias de rehabilitación neurooclusal y posturología para restablecer la salud total de la cavidad oral y su influencia en el resto del cuerpo.
VUESTRAS DUDAS
NUESTRAS. RESPUESTAS
1. ¿Cuánto dura un tratamiento de ortodoncia?
2. ¿Es doloroso el tratamiento de ortodoncia?
3. ¿Con qué frecuencia debo acudir al ortodoncista durante el tratamiento?
4. ¿Qué cuidados debo tener durante el tratamiento?
5. ¿Qué es la retención ortodóncica y cuánto tiempo debo usar los retenedores?
6. ¿Puedo acelerar el tiempo del tratamiento?
Reserva tu cita y recupera la frescura de tu sonrisa
No dejes que la halitosis o la acumulación de placa afecten tu vida social o tu salud. Solicita tu cita en nuestra clínica dental de Blanes y experimenta los beneficios de una boca limpia y sana. ¡Contáctanos hoy!